Аронян победил Карлсена и взял титул Freestyle Chess Первопрестольный Святой Эчмиадзин вновь призвал 10 епископов вернуться в каноническое поле Квота на беспошлинный ввоз электромобилей в Армению может быть увеличена Фон дер Ляйен заявила, что Трампу не стоит вмешиваться в демократию ЕС Армении придется выбрать между ЕС и ЕАЭС: Алексей Оверчук Ереван отверг заявления Баку о противоречии повестки Армения-ЕС мирному процессу Самвел Карапетян подвергается строжайшему политическому преследованию и незаконно содержится под стражей около 6 месяцев: адвокат Семён Багдасаров: Выбор Турции вместо России — опасная историческая слепота Суд в США разрешил министерству юстиции обнародовать секретные стенограммы по делу Эпштейна Первопрестольный Эчмиадзин готов поддержать инициативы по изучению документов о Геноциде армян: Католикос Гарегин II


В МЦ «Астхик» сотрудничестве с благотворительным фондом «Вива» внедряют новый метод удаления аденом гипофиза

Общество

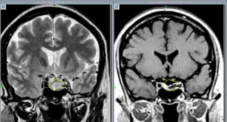
Аденома гипофиза – это доброкачественное новообразование, которое может крайне негативно сказываться на качестве жизни, вызывая нарушения со стороны эндокринной системы, а также нарушения зрения.

До недавних пор такие новообразования в МЦ «Астхик» удаляли с применением хирургического микроскопа. Теперь в медцентре внедряют и другой метод удаления аденом гипофиза – с помощью эндоскопа. Этот метод до недавних пор в Армении не применялся, и обучать ему специалистов в рамках одного из проектов благотворительного фонда «Вива» будет известный нейрохирург Вилен Азизян (Россия). В медицинском центре «Астхик» он уже провел три операции по удалению аденом гипофиза. Ассистировали ему армянские специалисты, которые в дальнейшем научатся проводить такие операции самостоятельно.

Аветис Киракосян, руководитель отделения нейрохирургии МЦ «Астхик», рассказал журналистам о том, что для внедрения эндоскопического метода удаления опухолей гипофиза был выбран медцентр «Астхик», так как материально-техническая база центра соответствует всем требованиям к проведению этих операций. Специалист уверен, что если в центре будут применяться оба метода, это поможет достигать более значительных результатов.

«В зарубежных медицинских центрах, где я проходил переподготовку, совмещают микроскопический и эндоскопический методы. После работы микроскопом проводят ревизию операционной области с помощью эндоскопа – без лишних разрезов через нос пациента вводят эндоскоп с камерой, осматривают область, иногда можно бывает обнаружить небольшие куски, которые остались вне поля зрения микроскопа, а эндоскоп может обеспечить более широкое поле зрения», - объяснил специалист.

По его словам, эндоскопическое удаление аденом гипофиза считается менее травматичным и менее инвазивным, чем микроскопическое удаление. Так или иначе, некоторым пациентам может потребоваться один из методов, некоторым – сразу оба, поэтому будет большим плюсом, если хирург будет одинаково хорошо владеть обоими методами.

Это далеко не первый проект, проводимый в Армении благотворительным фондом «Вива» (Врачи и волонтеры Армении). Татьяна Оганесян, председатель фонда, рассказала журналистам, что фонд был основан в 2016 году, с целью оказать помощь Арцаху и регионам Армении.

За пять лет фонд оснащал медицинским оборудованием госпитали и больницы страны, организовал образовательные программы и стажировки докторов. Многие врачи – члены фонда – регулярно приезжают в Армению, помогая и обучая коллег, проводя операции, помогая организовать реабилитацию раненых во время войны в Арцахе.

Как в свою очередь отметил попечитель фонда «Вива Георгий» Мелконян, главный врач 4 городской больницы Москвы, фонд проводит большую работу по обучению специалистов, чтобы врачи в Армении, овладевая новыми техниками и методами лечения, могли самостоятельно применять их в работе с пациентами и оказывать высококачественную помощь, не нуждаясь в помощи зарубежных коллег.

В дни войны в Арцахе 26 врачей фонда работали в разных полевых госпиталях – в Гадруте, Степанакерте, Мартуни, Мартакерте, Горисе, Мегри, Капане. В их числе были торакальные и сосудистые хирурги, реаниматологи, медсестры, и работали они на протяжении всей войны, сменяя друг друга.

Также во время войны фонд оказал материальную помощь в размере 2 млн долларов, 38 больниц получили медицинское оборудование.

В настоящее время фонд насчитается уже более 5000 членов, в числе которых более 700 врачей.

Аронян победил Карлсена и взял титул Freestyle ChessПервопрестольный Святой Эчмиадзин вновь призвал 10 епископов вернуться в каноническое полеКвота на беспошлинный ввоз электромобилей в Армению может быть увеличенаФон дер Ляйен заявила, что Трампу не стоит вмешиваться в демократию ЕСАрмении придется выбрать между ЕС и ЕАЭС: Алексей ОверчукЮнибанк выпустил новый транш драмовых бессрочных облигаций со ставкой 13,75% годовых Юнибанк присоединился к международной Ассоциации банкиров по финансам и торговле (BAFT)Бенефициаром декабря в рамках инициативы «Сила одного драма» стал благотворительный фонд City of Smile На имена Зеленского и Ермака были обнаружены заграничные паспорта (Фото) Экономический суверенитет или политическая разменная монета: какова цена сближения с ЕС? На что указывают позорные цифры? «Паст»Обеспокоенная Европа поднимает голос: авторитетные международные деятели предупреждают: «в Армении уничтожают Церковь»: «Паст»Алиев не ждет выборов, он требует сейчас: «Паст»Ереван отверг заявления Баку о противоречии повестки Армения-ЕС мирному процессуСамвел Карапетян подвергается строжайшему политическому преследованию и незаконно содержится под стражей около 6 месяцев: адвокатСемён Багдасаров: Выбор Турции вместо России — опасная историческая слепотаСуд в США разрешил министерству юстиции обнародовать секретные стенограммы по делу ЭпштейнаПервопрестольный Эчмиадзин готов поддержать инициативы по изучению документов о Геноциде армян: Католикос Гарегин IIТребование — прекратить нарушение фундаментальных прав граждан Республики Армения: «Всеармянский фронт» провёл акцию протестаЭдуард Сперцян признан лучшим игроком РПЛ по индексу РУСТАТГоспожа прокурор, когда-то вы рыдали в кабинете генерала… А теперь фабрикуете дело против этого же генерала H&M и Стелла Маккартни возвращаются: блестки нулевых и экологичный гламурAFI назвал ленту продюсера Сева Оганяна одним из лучших фильмов годаЛатвия впервые выделит свыше €2 млрд на оборонные расходы в 2026 годуАдвокат: Проведены обыски в квартирах дяди и двоюродной сестры архиепископа Аршака ХачатрянаВ 2026 год — со скоростью Ucom: новогодние предложения стартовалиЛавров: Европа препятствует урегулированию на УкраинеCNN: в Европе начали опасаться отказа Трампа от мирных переговоров по УкраинеПашинян готов изменить Конституцию Армении в угоду мирному соглашению с АзербайджаномБвик и Idram — рядом с любителями чтенияПравительство готовит новую дубинку в «красивой» упаковке: «Паст»Сколько человек могут посадить в тюрьму? «Паст»Тотальный провал в Гюмри: «антиплитургии» - партийные собрания: «Паст»Селена Гомес и Бенни Бланко наряжают первую рождественскую ёлку как супругиОпровержение: Нападение на Миграна Акопяна произошло не на территории торгового центра «Далма»Индия и Армения работают над обменом предварительной информацией о товарах и транспортных средствахIDBank принял участие в конференции, посвящённой 10-летию Армянского института директоровРазъяснение: В каких условиях в УИУ содержатся священнослужители и бизнесмен Самвел Карапетян?В результате несчастного случая в Варденисе скончался армянский офицер«Крылья Татева» признаны лучшей канатной дорогой в миреШиракская епархия ААЦ пригласила верующих прийти завтра в церковь «Семи Святых Ран» в ГюмриАнастасия Демурчян завоевала серебро на чемпионате России по боксу в УфеUcom поддерживает развитие космической инженерии в Армении «Простоквашино» признан самым ожидаемым кино релизом начала 2026 годаBrent подорожала до $63,82 за баррельТрамп заявил о разочаровании: Зеленский до сих пор не прочитал мирное соглашение СШАТаиланд нанес авиаудары по Камбодже«Символ невосполнимой утраты и единства нашего народа». Абрам Овеян о Спитакском землетрясении Вся страна стала заложницей страхов и тревог Пашиняна: «Паст»Опасный меморандум: от чего на самом деле страдает Армения? «Паст»
Самое популярное