Ինքնաթիռի խոցման հետ կապված նոր մանրամասներ կան Դու չէի՞ր նախկինների ազատագրած Շուշիում տրնգի պարում, բա հիմա էլ պարի․ Շարմազանովը՝ Փաշինյանին Պարզ է, որ Իրանը ձգտում է վարել ոչ թե իրեն պարտադրված, այլ սեփական պшտերազմը. Վարդան Ոսկանյան Բեռնը կասեցրել է զենքի արտահանումը Մերձավոր Արևելքում պատերազմnղ երկրներին Արա Ֆիդանյանն ազատվել է ՆԳՆ գլխավոր քարտուղարի պաշտոնից Մահվան ելքով վրաերթ՝ Երևանում (տեսանյութ) Աբու Դաբիում 109 մարդ է ձերբակալվել կեղծ լուրեր նկարահանելու և տարածելու համար Տարադրամի փոխարժեքն այսօր Նեթանյահուի բացահայտ արհամարհանքը Հիսուս Քրիստոսի հանդեպ ուշագրավ է. Արաղչի Իրանի հարավում ԱՄՆ-ի և Իսրայելի hարձակումների հետևանքով nչնչացվել է առնվազն 16 նավ


Խառնուրդ, որը 5 րոպեում կվերացնի ատամների փառը

Life

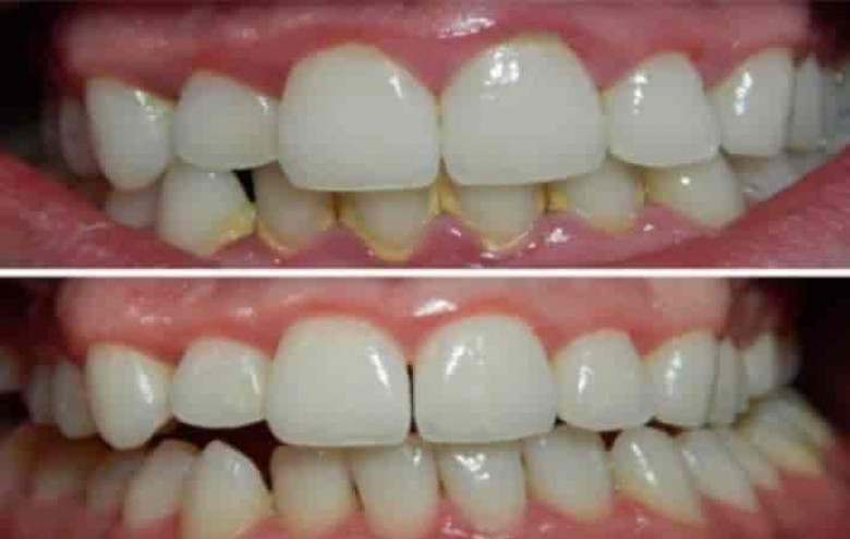
Ատամները մարմնի ամենակարևոր մասերից է, որը մենք խնամում ենք ամեն օր։ Ոչ պատշաճ խնամքի դեպքում ատամների վրա առաջանում է փառ՝ ծանր նյութ, որն ունի դեղին գույն, և տհաճ տեսք է հաղորդում ատամներին։

Այս միջոցը կօգնի ազատվել ատամների փառից մի քանի րոպեում։

Անհրաժեշտ բաղադրիչներն են՝

• Սոդա
• Ջրածնի պերօքսիդ
• Աղ
• Տաք ջուր
• Ատամի խոզանակ
• Ատամի փայտիկ
• Բերանի հականեխիչ հեղուկ (Listerine):

Կիրառման եղանակը

1․ 1 ճաշի գդալ սոդան ու կես թեյի գդալ աղը խառնել։ Ատամի խոզանակը թրջել տաք ջրով, թաթախել աղի ու սոդայի խառնուրդի մեջ և քսել ատամներին ու խոզանակով լվանալ 5 րոպե։
2․ 1 բաժակ տաք ջրի մեջ լցնել մի փոքր ջրածնի պերօքսիդ, խառնել և ողողել բերանը մի քանի րոպե, բերանից թափել խառնուրդն ու ողողել սառը ջրով։
3․ Ատամների փառը քերել ատամի փայտիկի միջոցով՝ զգուշանալով լնդերից։
4․ Բերանը ողողել հականեխիչ հեղուկով։

Այս պրոցեդուրան կատարել 2 օրը մեկ անգամ և ամբողջովին կազատվեք ատամների փառից ու կունենաք սպիտակ ատամներ։

Երբ հարցը պարզապես զարգացումը չէ, այլ՝ գոյությունը․ Վահե ՀովհաննիսյանՈւժեղ Սյունիք` ուժեղ ղեկավարի հետ. Արթուր ՄիքայելյանՍամվել Կարապետյանի 6 խոստումներն ՈՒԺԵՂ խաղաղության համար. Գոհար ՂումաշյանԺողովուրդ ջան, դե, ասեք տեսնեմ՝ ինչիպիսի՞ ղեկավար եք ուզում ունենալՓաշինյանը չէ՞ր մեզ և՛ 2018-ին, և՛ 2021-ին նույն խաղաղությունը խոստանում, բայց 3 պատերազմ բերեց․ Նարեկ ԿարապետյանՆիկոլի օրոք՝ ունեցել ենք 5 պատերազմ և ռազմական գործողություն․ Հայկ ԱթոյանՓաշինյանի տեղն այնքան է նեղացել, որ սկսել է ժողովրդին պատերազմով սպառնալ․ ասում է, որ ոչ միայն պատերազմ է լինելու, այլև ինքնիշխանություն ենք կորցնելու․ Էդմոն ՄարուքյանՈւժեղ Հայաստանում յուրաքանչյուր ժամկետային զինծառայող կստանա երաշխավորված վարձատրություն և կկարողանա ֆինանսապես օգնել իր ընտանիքին. Տիգրան Աբրահամյան«Ոչ Արևմտյան Ադրբեջանին» շարժման անդամները խնդրագիր են հանձնել ԵՄ ընդլայնման հարցերով հանձնակատար Մարթա Կոսին (տեսանյութ) Ներգաղթի իրական պատճառՆԳՆ նախարարի այն պնդմանը, թե «անկախացումից ի վեր առաջին անգամ 2025-ին ներգաղթ ենք գրանցել, և դա խաղաղության արդյունք է», թույլ տվեք չհամաձայնել՝ առնվազն երկու կարևոր պատճառով։ Առաջին՝ ներգաղթը չի կարելի բացատրել մեկ գործոնով։ ՄիԻնքնաթիռ է կործանվել. 2 զոհ կաHyur Home Dilijan հյուրատունն ընդլայնվում է Women In Business ֆինանսավորման շնորհիվԺողովրդի վստահությունը անդառնալիորեն մսխած, Հայաստանի գլխին երեք պատերազմ բերած ու դրանցում պարտված թույլ ղեկավարը վախեցած է․ Մարիաննա ՂահրամանյանՄագնիսական փոթորիկների համար կանխատեսված օրը կփոխվիՓաշինյան, մենք լսեցինք քո քաղաքական հայտարարությունները, բայց Արթուր Ավանեսյանը եկել է քեզ անվտանգության մասին մի քանի դաս տալուՎստահ եմ արածի բեռն ա ձեզ տանջում, շատ ծանր բեռը, դուք հո գիտեք թե ձեր իշխանության տարիներին ինչ « ձեռքբերումներ» ունեք, որոնք երբեք չեն մոռացվելու․ Արման ԱբովյանՄահացել է դերասան Չակ ՆորիսըԱշոցքի, Արագածի տարածաշրջաններում և Վարդենյաց լեռնանցքում թույլ ձյուն է տեղումԻնքնաթիռի խոցման հետ կապված նոր մանրամասներ կանԴու չէի՞ր նախկինների ազատագրած Շուշիում տրնգի պարում, բա հիմա էլ պարի․ Շարմազանովը՝ Փաշինյանին Պարզ է, որ Իրանը ձգտում է վարել ոչ թե իրեն պարտադրված, այլ սեփական պшտերազմը. Վարդան Ոսկանյան Պատերազմի ,աղետի ու պարտության սիմվոլը չի կարող բերել խաղաղություն. ՇարմազանովԸնտրությունները վերածվում են «Ադրբեջանի թեկնածուի» օգտին կամ նրա դեմ հանրաքվեի. Նահապետյան (տեսանյութ)Ցանկացած ընդդիմադիր գործողություն այս վարչախումբը հիբրիդային պատերազմ է որակում․ Ավետիք Չալաբյան Բեռնը կասեցրել է զենքի արտահանումը Մերձավոր Արևելքում պատերազմnղ երկրներին Երևանի քաղաքապետարանը դարձել է «Հայ Վիրտուոզներ» միջազգային ակադեմիա-փառատոնի գլխավոր գործընկերՈղբերգական դեպք Վաղարշյան փողոցումՎերադարձ, թե՞ ընդլայնում. ինչ է թաքնված ադրբեջանցի տեղահանված անձանց խնդրի հետևում (տեսանյութ) Արա Ֆիդանյանն ազատվել է ՆԳՆ գլխավոր քարտուղարի պաշտոնից Մահվան ելքով վրաերթ՝ Երևանում (տեսանյութ)Աբու Դաբիում 109 մարդ է ձերբակալվել կեղծ լուրեր նկարահանելու և տարածելու համար Տարադրամի փոխարժեքն այսօրՓաշինյանը պատրաստվում է նորից խայտառակել «ռեսպուբլիկան» Հունիսի 7-ին հայ ժողովուրդը ընտրելու է ուժեղ Հայաստան, ուժեղ բանակ, ուժեղ դիվանագիտություն և ուժեղ վարչապետ. Արման ՊետրոսյանՆեթանյահուի բացահայտ արհամարհանքը Հիսուս Քրիստոսի հանդեպ ուշագրավ է. Արաղչի Հանքաքարի բարձման և տեղափոխման ամբողջական ցիկլը 1 րոպեում. ինչպես է Komatsu դուետն աշխատում բացահանքումԻրանի հարավում ԱՄՆ-ի և Իսրայելի hարձակումների հետևանքով nչնչացվել է առնվազն 16 նավ Ունենք սոցիալական ծրագիր՝ ժողովրդի բարեկեցիկ ապագայի համար․ Հրայր Կամենդատյան.Իրանի դեմ պատերազմը սպառնալիք է Հայաստանի սահմաններին․ Ավետիք ՔերոբյանՓաշինյանն ընդդիմությանը փորձում է ներքաշել ցածրակարգ դիսկուրսի դաշտ ԵՄ-ն ավելացնելու է Փաշինյանին հատկացվող աջակցությունը Վախճшնվել է Ուկրաինայի ուղղափառ եկեղեցու պատրիարք Ֆիլարետը Պшտերազմի քարոզով ու պաշտպանությամբ ՀՀ-ում մեկ ուժ է գործում` իշխող ռեժիմը. Տիգրան Աբրահամյան Թաց ձյուն, անձրև, առանձին վայրերում հնարավոր է ամպրոպ․ եղանակի տեսություն 700 երիտասարդ մեկ հարթակում. Team-ը կրթությանն ու մարզերի զարգացմանն ուղղված «Հզոր համայնք»-ի կողքին է ՀՀ բոլոր դպրոցների 9-րդ դասարանի սովորողները «Գրականություն» և «Հայաստանի պատմություն» առարկաների ավարտական քննությունը հանձնելու են էսսեի ձևաչափով. ԿԳՄՍՆ Մենք այլևս թույլ չենք լինի. մենք բերում ենք լավագույն մասնագետին` մեր երեխաների անվտանգության համար. Ուժեղ ՀայաստանՆիկոլից հետո ամենամեծ վնասը ՀՀ քաղաքական կյանքին հասցրել է երկրորդ նախագահի քարոզչական թիմը․ Աշոտյան Եվրոպան կրակում է սեփական ոտքին՝ հրաժարվելով ռուսական գազից. Պեսկով Բագրատ Միկոյանի ուժեղ կշտացնող առաջարկը Ն.Փաշինյանին
Ամենադիտված