Բուք, ցածր հորիզոնական տեսանելիություն, մառախուղ, գիշերը և առավոտյան ժամերին` մերկասառույց․ եղանակի տեսություն Շղթայական վթար, 2 մարդ մաhացել է, ևս 10-ը՝ վիրավnրվել. ՏԵՍԱՆՅՈՒԹ Հաջորդ իշխանության հավակնորդները պետք է ճիշտ ձևակերպեն հաջորդ իշխանության առաքելությունը, և այդ պարագայում կհաջողեն․ Հովհաննիսյան Գագաթնակետին հասնելուց հետո ոսկու գինը կտրուկ իջել է Ինչ պետք է անի քաղաքացին, եթե չունի սմարթ հեռախոս ԱՐՄԵԴ հավելվածում ընդգրկվելու համար. նախարարի պարզաբանումը Եթե Լոնդոնը, Փարիզը, Բեռլինը և Անկարան գործեն միասին, ստիպված չենք լինի թեքվել դեպի ԱՄՆ, Չինաստան կամ Ռուսաստան. Ֆիդան Շերամի փողոցում բռնկված հրդեհը մարվել է Ողբերգական դեպք՝ Երևանում, հայտնի ՍՊԸ-ի գրասենյակներից մեկում մաhացած է հայտնաբերվել 29-ամյա սպասարկման մասնագետը Բրյուսելը, վաղ թե ուշ, կպահանջի, որ Երևանը հակառուսական կուրս ընդունի. ՌԴ ԱԳՆ ներկայացուցիչ Աստղագետների միջազգային խումբը հայտնաբերել է պոտենցիալ բնակելի մոլորակ


Մեջքի ակնե . 5 պատճառ և ինչպես բուժել այն

Life

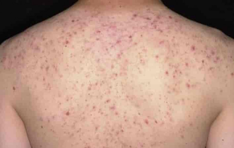
Մեջքի ակնեն ամենատհաճ երևույթներից մեկն է: Դրանց առաջացման 5 հիմնական պատճառներն են.

1. Խնամքի միջոցներ, որոնք փակում են ծակոտիները. մարմնի լոսյոնները, մերսման յուղերը և քսուքները կարող են ակնեի առաջացման պատճառ դառնալ:
Լուծում. Օգտագործեք արագ չորացող քսուքներ: Ամռանը ցանկալի է օգտագործել քսուքներ՝ լոսյոնների փոխարեն, քանի որ դրանք ավելի քիչ յուղեր են պարունակում, այսպիսով խոնավեցնում են մաշկը:

2. Հագուստներ, որոնք գրգռում են մաշկը. Սա վերաբերում է այն հագուստներին, որոնցով մարզվում եք: Եթե արհեստական կտորներից սպորտային համազգեստ եք կրում, ապա շատ հնարավոր է, որ ակնեն առաջացել է դրանից:
Լուծում. Մարզվելու համար բամբակյա հագուստ ընտրեք:

3. Ժառանգականություն. Եթե ընտանիքի մյուս անդամները նույնպես խնդիրներ ունեին մեջքի ակնեի հետ, ապա հավանականությունը մեծ է, որ ձեզ մոտ նույնպես կլինեն դրանք:
Լուծում. Օգտագործեք խնամքի այնպիսի միջոցներ, որոնք պարունակում են բենզիլ պերոքսիդ, որը վերացնում է ակնեն:

4. Դիետա. Այն, ինչ լավ է սրտի համար, լավ է նաև մաշկի համար: Մաշկն այն բոլոր բաղադրիչների հայելին է, որոնք օգտագործում եք օրվա ընթացքում:
Լուծում. Խուսափեք արագ կամ անառողջ սննդից: Ձեր սննդակարգում ներառեք մրգեր և բանջարեղեններ:

5. Մեջքի մաշկի խնամքի միջոցներ. Նրանք, ովքեր խնամում են իրենց մաշկը, ավելի քիչ խնդիրներ ունեն, քան մյուսները: Ակնեին վերջ տալու համար պետք է խնամեք մեջքն այնպես, ինչպես դեմքը:
Լուծում. Շաբաթական 2-3 անգամ մեջքի պիլինգ արեք, ցանկալի է՝ ծովի աղով: Այդ դեպքում մաշկը կփափկի:

Որո՞նք են երաշխիքները, որ տարվա կեսին առողջության ապահովագրության համար նախատեսված բյուջեն չի սպառվի. Նաիրի ՍարգսյանԱմփոփվեց «Դոմուս»-ի ամենասպասված խաղարկությունը Բուք, ցածր հորիզոնական տեսանելիություն, մառախուղ, գիշերը և առավոտյան ժամերին` մերկասառույց․ եղանակի տեսություն Մինչև 200․000 դրամ աշխատավարձ ստացողները զրկված են առողջության ապահովագրությունից․ Մենուա ՍողոմոնյանԶՊՄԿ-ում մասնագիտական վերապատրաստումները դիտարկվում են որպես շարունակական գործընթաց և ռազմավարական ներդրում«Հայաստանի 100 լավագույն ուսանողները» մրցույթի հայտադիմումների ընդունումը կավարտվի 3 օրից. Գոհար ՂումաշյանՓաշինյանի զգուշացումը Հայկ Սարգսյանին Բանակի դերը պետք է մշտապես բարձր լինի, սակայն այսօր հակառակն ենք տեսնում․ Ավետիք Հարությունյան Ստրասբուրգում ընթացող ԵԽԽՎ վեհաժողովի շրջանակներում իմ դիտարկումները ներկայացրեցի համազեկուցողներ Բորիանա Օբերգին և պարոն Ֆասինոյին. Է. ՄարուքյանՓաշինյանն ամեն ինչ անում է՝ Ավստրիայում կայանալիք եպիսկոպոսաց ժողովը խափանելու համար Սամվել Կարապետյանը 3 տասնամյակ շարունակ շենացրել է Հայաստանը. Սամվել ԿարապետյանՌուսաստանը բարձրացնում է կոշտ զգուշացումների դոզան TeamPay-ն առաջին էլեկտրոնային դրամապանակն է Հայաստանում, որտեղ կարելի է մեկ քայլով նույնականացվել imID-ովՇղթայական վթար, 2 մարդ մաhացել է, ևս 10-ը՝ վիրավnրվել. ՏԵՍԱՆՅՈՒԹՀաջորդ իշխանության հավակնորդները պետք է ճիշտ ձևակերպեն հաջորդ իշխանության առաքելությունը, և այդ պարագայում կհաջողեն․ Հովհաննիսյան Գագաթնակետին հասնելուց հետո ոսկու գինը կտրուկ իջել է Ինչ պետք է անի քաղաքացին, եթե չունի սմարթ հեռախոս ԱՐՄԵԴ հավելվածում ընդգրկվելու համար. նախարարի պարզաբանումը Նույնիսկ այս ծանր պայմաններում բանակը կատարում է իր առաքելությունը․ Արամ ՊետրոսյանԵթե Լոնդոնը, Փարիզը, Բեռլինը և Անկարան գործեն միասին, ստիպված չենք լինի թեքվել դեպի ԱՄՆ, Չինաստան կամ Ռուսաստան. Ֆիդան Արևային էներգիա՝ մթության մեջ. Չինաստանը գործարկել է «հրաշք աշտարակը» Դատարանի միջամտությունը եկեղեցու կառավարմանը հարուցում է սահմանադրականության և իրավունքի գերակայության հետ կապված լուրջ մտահոգություններ. «Amsterdam & Partners» Շերամի փողոցում բռնկված հրդեհը մարվել է Ողբերգական դեպք՝ Երևանում, հայտնի ՍՊԸ-ի գրասենյակներից մեկում մաhացած է հայտնաբերվել 29-ամյա սպասարկման մասնագետըԲանակը չի պարտվել, պարտվել են իշխանությունները․ Գրիգոր Գրիգորյան «Առաջարկ Հայաստանին» երիտասարդական ծրագիրը համակարգված մոտեցմամբ անդրադառնում է երիտասարդությանը հուզող առանցքային խնդիրներին. Շաքե ԻսայանԲրյուսելը, վաղ թե ուշ, կպահանջի, որ Երևանը հակառուսական կուրս ընդունի. ՌԴ ԱԳՆ ներկայացուցիչ Աստղագետների միջազգային խումբը հայտնաբերել է պոտենցիալ բնակելի մոլորակ Եղանակը զգալի կտաքանա․ Գագիկ Սուրենյանը առաջիկա օրերին սպասվող եղանակի մասին Պարգևավճար ստացող պետական պաշտոնյան պարտավոր է պարգևի տաս տոկոսը ծախսել վերապատրաստման վրա. Հրայր ԿամենդատյանԱրևմտյան եկեղեցիների աճող մտահոգությունը Հայաստանի իշխանությունների քաղաքականության շուրջ «Շու՛նչդ տուր, հոգի՛դ տուր, բայց Հայրենիքդ մի՛ տուր թշնամուդ»․ երբ երիտասարդները խոսում են Հայրենիքի մասին․․․ «Մեր Ձևով» շարժումը ներկայացնում է ուժեղ Հայաստանի իր տեսլականը 300 000 նոր աշխատատեղերը բերելու են նաև բարձր կենսաթոշակներ. Աշոտ ՄարկոսյանՇիրակի մարզը բարեգործություն չի ուզում. Շիրակի մարզը աշխատանք է ուզում. Ռուբեն Մխիթարյան Ջուր չի լինելու․ հասցեներ Դոլարն ու ռուբլին թանկացել են․ փոխարժեքն՝ այսօր Ու՞մ բախտը կբերի այսօր․ աստղագուշակ հունվարի 30-ի համար Հայտնի քաղաքական գործիչներն ու փորձագետները քննարկել են Հայաստանի անվտանգության նոր մարտահրավերները Անկախ ՍԴ-ի դիրքորոշումից՝ հանրային հնչեղություն ունեցող բոլոր գործերը զուգորդված են կալանքներով. Արամ ՎարդևանյանՍա երազանք չէ․ սա քո ապագա աշխատանքն է․ «Մեր ձևով» Սթափեցնող ահազանգ Ստրասբուրգից․ բանտարկված սրբազաններն ու Ադրբեջանի անվերջ պահանջները․ Էդմոն ՄարուքյանՀայտնի են Junius մրցույթի երրորդ փուլի հաղթողների անունները300.000 նոր աշխատատեղ․ Ալիկ Ալեքսանյան«Մեր ձևով» ժողովրդական շարժման համակարգող Նարեկ Կարապետյանը և շարժման անդամները կհանդիպեն երևանցիների հետ Հայաստանում ամենաարագ աճող շարժումը․ «Մեր ձևով»Մենք չենք ուզում նոր փորձանքներ. մենք ուզում ենք արժանապատիվ ծերություն և անվտանգ ապագա․ Կամենդատյան Այս ամենը հակասահմանադրական է․ Օրբելյան Վիճաբանություն և ծեծկռտուք՝ Գեղարքունիքի մարզում Հասարակությունը պետք է լինի քաղաքականապես հասուն և անջատի ընտանեկան շահը պետականից․ Ավետիք Չալաբյան Հայոց բանակի տոնի կապակցությամբ կազմակերպել էինք մեծ տոնական համերգ․ Ավետիք Չալաբյան
Ամենադիտված