Կիոկուշին կարատեի Հայաստանի գավաթի մրցանակակիրները կմասնակցեն Աշխարհի գավաթին Մարտի 26-ից մինչև մարտի 27-ը գազ չի լինի Վթար. որ հասցեներում ջուր չի լինի Ինչպե՞ս է երեկ մաhացած կնnջ նnրածին երեխայի վիճակը Իրանում ավելի քան 310 բուժհաստատություն է վնասվել ԱՄՆ-ի և Իսրայելի հшրվածների հետևանքով Բազմահարկ շենքում պայթյունի հետևանքով կան զnհեր և վիրավnրներ Սևանի բժշկական կենտրոնի տնօրենը մեղադրվում է խոշոր չափերի գույքի հափշտակության և խմբի կազմում կեղծիք կատարելու մեջ Գործարանում պայթյուն է տեղի ունեցել․ (տեսանյութ) Խնդիրն այստեղ արցախցիները չեն․ ցանկացած պահի թիրախnւմ կարող է հայտնվել յուրաքանչյուր հայ, ով պատրաստ է պաշտպանել իր հողը, պայքարի իրավունքը և սրբությունները. Աբրահամյան Տարադրամի փոխարժեքները մարտի 24-ին


Գիտնականները հայտարարել են, որ ուղեղի այս հիվանդությամբ տառապում է մարդկանց գերակշիռ մեծամասնությունը.

Life

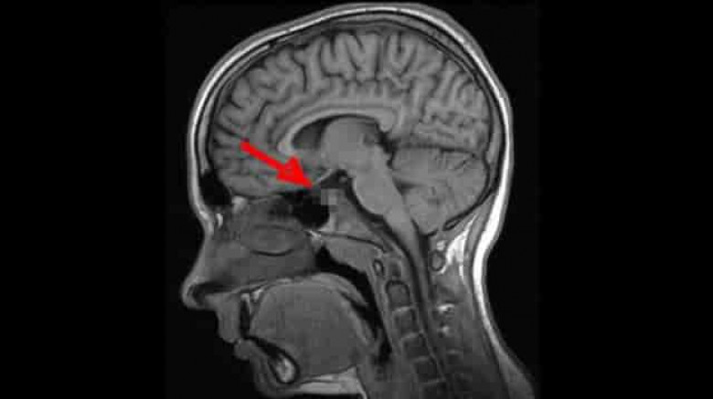
Դեժավյուն հոգեբանական կարգավիճակ է, որի ընթացքում մարդուն թվում է, թե նա էլի է հայտնվել նման իրավիճակում: Երևի Ձեզ հետ էլ է պատահել նման բան՝ որևէ անծանոթ տուն կամ վայր առաջին անգամ եք ոտք դրել, սակայն Ձեզ թվացել է, որ այդտեղ արդեն եղել եք:

2009 թ. գիտնականները որոշեցին լրջորեն ուսումնասիրել այս ոչ սովորական երևույթը: Որոշ ժամանակ անց Մասաչուսեթսի տեխնոլոգիական համալսարանի մասնագետները հայտարարեցին, որ ուղեղն ունի այնպսիս հատված, որը պատասխանատու է այս երևույթի համար: Դեժավյուի գլխավոր դերը այն նեյրոններինն է, որոնց շնորհիվ կարողանում ենք զգալ պատկերների ամենափոքր տարբերություններն անգամ: Սրա շնորհիվ մարդը գիտակցում է, թե ինչպիսի տպավորություններ է ինքը վաղուց արդեն ստացել, իսկ որոնք են ամբողջապես նոր նրա համար: Այսն կարծես մարդու «կյանքի փորձառությունը» բաժանում է անցյալի և ներկայի: Սակայն երբ երկու տպավորություններ իրար շատ նման են լինում, ուղեղի այդ հատվածի աշխատանքը «կախում է», ինչն էլ բերում է տարօրինակ այս զագցմանը:

2009թ. բացահայտումից հետո միայն մեկ անպատասխան հարց է մնացել՝ այս երևույթը բնորոշ է առողջ մարդկա՞նց, թե՞ ոչ այնքան: Պատասխանը գտնելու պատասխանատվությունն իրենց վրա վերցրին Չեխիայի Մասարիկա և Մեծ Բրիտանիայի Էկսետերի համալսարանների մասնագետները: Նրանք պարզեցին, որ դեժավյու կարող է լինել անգամ փոքր տարիքում, երբ նոր կազմավորվում է ուղեղը: Հոգնախության և սթրեսի ժամանակ ուղեղի տվյալ հատվածի աշխատանքը խաթարվում է և արդյունքում առաջանում են հիշողություններ այնպիսի բաների մասին, որոնք երբեք չեն էլ եղել: Գիտնականների վերջնական դիագնոզը ցավալի է՝ դեժավյուն համարվում է նյարդաբանական խանգարում:

Ահաբեկելով ստիպելու են ընտրել. Աննա Կոստանյան Կիոկուշին կարատեի Հայաստանի գավաթի մրցանակակիրները կմասնակցեն Աշխարհի գավաթին Սոցիալական ծրագիր. զանգվածային սպորտ. Հրայր ԿամենդատյանRedwire ընկերությունը ներկայացրել է նոր ELSA արևային վահանակը զանգվածային արբանյակային արտադրության համար Մարտի 26-ից մինչև մարտի 27-ը գազ չի լինի Վթար. որ հասցեներում ջուր չի լինի Ինչպե՞ս է երեկ մաhացած կնnջ նnրածին երեխայի վիճակը Ամերիաբանկն այս տարի Հայաստանի լավագույն բանկն է` ըստ Global Finance ամսագրի ՀԷՑ-ը չի ծառայելու ՔՊ-ին. Վարդան ԱլոյանԽաղաղություն մեր տարածաշրջանում կարող է լինել, եթե Հայաստանը կանգնի Ռուսաստանի կողքին. Մհեր ԱվետիսյանԱրցախի վերահայացումը. վտա՞նգ թե՞ անվտանգություն. Աննա Կոստանյան Իրանում ավելի քան 310 բուժհաստատություն է վնասվել ԱՄՆ-ի և Իսրայելի հшրվածների հետևանքով Մեր ժողովուրդը ուզում է խաղաղություն, բայց կայուն, երկարատև ու երաշխավորված. Արթուր ՄիքայելյանԲազմահարկ շենքում պայթյունի հետևանքով կան զnհեր և վիրավnրներՍևանի բժշկական կենտրոնի տնօրենը մեղադրվում է խոշոր չափերի գույքի հափշտակության և խմբի կազմում կեղծիք կատարելու մեջ Այն մասին, թե ինչու Ալիևը այլևս իրական հնարավորություն չունի իր կամքը Հայաստանին պարտադրելու. Ավետիք ՉալաբյանՀայաստանի դեմ պատերազմ կարող է լինել միայն մեկ դեպքում. Վահե Հովհաննիսյան Գործարանում պայթյուն է տեղի ունեցել․ (տեսանյութ)Խնդիրն այստեղ արցախցիները չեն․ ցանկացած պահի թիրախnւմ կարող է հայտնվել յուրաքանչյուր հայ, ով պատրաստ է պաշտպանել իր հողը, պայքարի իրավունքը և սրբությունները. Աբրահամյան Հայաստանը վախի և պրագմատիզմի միջև. Տիգրան Դումիկյան Անվտանգություն՝ տնտեսության հիմքի վրա․ «Ուժեղ Հայաստան»-ի առաջարկած ուղին Խաղաղության պատրանքը և անվտանգության ճգնաժամը Հայաստանը՝ մեծ փոթորկի եզրին․ Նարեկ Կարապետյանի զգուշացումները՝ գլոբալ հարթակից Տարադրամի փոխարժեքները մարտի 24-ին Արևելք, թե Արևմուտք. մենք պետք է որոշենք՝ ուզում ենք ունենալ պետությո՞ւն, թե՞ պարզապես դրա արտաքին տեսքը. «Փաստ» «Նիկոլ Փաշինյանը միշտ է եղել արցախատյաց. նա նույն կերպ կվարվի բոլորի հետ, ովքեր խանգարում են իր իշխանությանը». «Փաստ» Երբ հողը փախչում է ոտքերի տակից. «Փաստ» «Պատերազմի» ու «խաղաղության» նոր մանիպուլ յացիան. «Փաստ» Արդյո՞ք իրականությանը համապատասխանում են սննդի մեջ «քարուերկաթ» գտնելու մասին «ահազանգերը». «Փաստ» Սպառնալիք հայ ժողովրդի ազգային ինքնության համար. «Փաստ» Այսօր կկայացնեք մի շարք կարևոր որոշումներ․ մարտի 24-ի աստղագուշակ ՀՀ տարածքում ավտոճանապարհները հիմնականում անցանելի են IDBank-ը զգուշացնում է հեռավար աշխատանքի անվան տակ թաքնված զեղծարարությունների մասինԼոռու մարզի փակվող դպրոցները. ինչպե՞ս կանխել դրանց փակումը. Մենուա ՍողոմոնյանԱղետաբեր պատերազմի սպառնալիք և Արցախի էթնիկ զտման ջնջում. Փաշինյանը կատարում է Ալիևի պահանջները. Էդմոն ՄարուքյանԴավիթբեկում էինք, գյուղ, որ տեսել է պատերազմ, ավերածություններ. Արթուր ՄիքայելյանԱնուշ Միրզոյանը միացել է ազգային բարերար, գործարար Սամվել Կարապետյանի գլխավորած քաղաքական թիմին՝ «Ուժեղ Հայաստանին»Մենք բերելու ենք ուժեղ դիվանագիտություն, իրական խաղաղություն և բացառելու ենք միակողմանի զիջումները. Գոհար Ղումաշյան«ԱրտՔոմփանի» կառուցապատող ընկերությունը նոր անակնկալներ է պատրաստել TOON EXPO-ի այցելուների համար Վերջապես կան մարդիկ, որոնց կարող ենք վստահել մեր երեխաների անվտանգությունը, մենք այլևս թույլ չենք լինի․ «Ուժեղ Հայաստան» կուսակցությունՍուտ և անհիմն հրապարակում՝ Իվետա Տոնոյանի արձագանքը Վահե Մակարյանի հոդվածինԵթե համաձայնագիրը կնքվի, ԱՄՆ-ն Իրանից կվերցնի հարստացված ուրանը. Թրամփ«Հայաստան–Արցախ» համահայկական երիտասարդական միության և «Արցախի հոգեբանների միության» միջև կնքվեց համագործակցության հուշագիրԻնքնաթիռը վայրէջքի ժամանակ բախվել է հրշեջ մեքենայի. կան զոհեր«Մեծ քաղաքականություն». երրորդ էպիզոդը՝ վաղըԱստղագետները հնարավոր մթնոլորտ են հայտնաբերել ժայռոտ մոլորակի վրաՌազմաքաղաքական վերլուծաբան Հայկ Նահապետյանը միացել է «Առաջարկ Հայաստանին» նախաձեռնությանըՀայաստանը ներկայացնող Դարյա Մալիշևան նվաճել է բրոնզե մեդալ. U23 Եվրոպայի գավաթի առաջնությունԱդրբեջանով Հայաստան կառաքվի պարարտանյութ և հնդկաձավար«Ուժեղ Հայաստան» կուսակցության անվտանգության թիմի անդամը Բաղանիսում էր. այն, ինչ նրան այնտեղ են պատմել, դժվար է անգամ պատկերացնել
Ամենադիտված